Progress in Childhood Cancer has Stalled for Blacks and Hispanics, US Report Says
Written by WorldOneFm on November 16, 2023
Advances in childhood cancer are a success story in modern medicine. But in the past decade, those strides have stalled for Black and Hispanic youth, opening a gap in death rates, according to a new report published Thursday.
Childhood cancers are rare and treatments have improved drastically in recent decades, saving lives.
Death rates were about the same for Black, Hispanic and white children in 2001, and all went lower during the next decade. But over the next 10 years, only the rate for white children dipped a little lower.
“You can have the most sophisticated scientific advances, but if we can’t deliver them into every community in the same way, then we have not met our goal as a nation,” said Dr. Sharon Castellino, a pediatric cancer specialist at Emory University’s Winship Cancer Institute in Atlanta, who had no role in the new report.
She said the complexity of new cancers treatments such as gene therapy, which can cure some children with leukemia, can burden families and be an impediment to getting care.
“You need at least one parent to quit their job and be there 24/7, and then figure out the situation for the rest of their children,” Castellino said. “It’s not that families don’t want to do that. It’s difficult.”
More social workers are needed to help families file paperwork to get job-protected leave and make sure the child’s health insurance is current and doesn’t lapse.
The overall cancer death rate for children and teenagers in the U.S. declined 24% over the two decades, from 2.75 to 2.10 per 100,000, according to the Centers for Disease Control and Prevention report.
The 2021 rate per 10,000 was 2.38 for Black youth, 2.36 for Hispanics and 1.99 for whites.
Nearly incurable 50 years ago, childhood cancer now is survivable for most patients, especially those with leukemia. The leading cause of cancer deaths in kids is now brain cancer, replacing leukemia.
Each year in the U.S. about 15,000 children and teens are diagnosed with cancer. More than 85% live for at least five years.
The improved survival stems from research collaboration among more than 200 hospitals, said Dr. Paula Aristizabal of the University of California, San Diego. At Rady Children’s Hospital, she is trying to include more Hispanic children, who are underrepresented in research.
“Equity means that we provide support that is tailored to each family,” Aristizabal said.
The National Cancer Institute is working to gather data from every childhood cancer patient with the goal of linking each child to state-of-the-art care. The effort could improve equity, said Dr. Emily Tonorezos, who leads the institute’s work on cancer survivorship.
The CDC’s report is “upsetting and discouraging,” she said. “It gives us a roadmap for where we need to go next.”

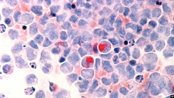
FILE – March 1988 microscope photo provided by the National Cancer Institute shows human cells with acute myelocytic leukemia.
AP
